Periodontal disease is diagnosed by your dentist or dental hygienist during a periodontal examination. This type of exam should always be part of your regular dental care at least twice a year.
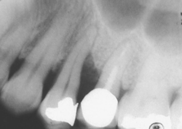
X-Rays
X-rays are used to diagnose bone loss surrounding the roots of the teeth. If evidence of bone loss is seen on x-rays periodontal treatment is mandatory. If left untreated the likelihood of tooth-loss is high.
Periodontal Probe
A periodontal probe (small dental instrument) is gently used to measure the sulcus (pocket) between the tooth and the gums. The depth of a healthy sulcus measures three millimeters or less and does not bleed. The periodontal probe helps indicate if pockets are deeper than three millimeters. As periodontal disease progresses, the pockets usually get deeper. Your dentist or hygienist will use pocket depths, amount of bleeding, and tooth mobility to make a diagnosis that will fall into a category below:

Gingivitis
Gingivitis is the first stage of periodontal disease. Plaque and its toxin by-products irritate the gums, making them tender, inflamed, and likely to bleed.
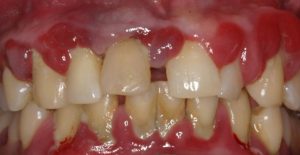
Mild to Moderate Periodontal Disease
Gingivitis is the first stage of periodontal disease. Plaque and its toxin by-products irritate the gums, making them tender, inflamed, and likely to bleed.
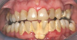
Severe Periodontal Disease
Gingivitis is the first stage of periodontal disease. Plaque and its toxin by-products irritate the gums, making them tender, inflamed, and likely to bleed.
Prevention
Once Periodontal Disease develops it can only be stopped from progressing to a more severe state. It cannot be reversed. The key is prevention. Please see our Prevention page to learn how you can prevent periodontal disease.
